小儿支气管肺炎的介绍

相关图片

支气管炎加重转为肺炎 小孩今年3岁了,因为在家没人带,所以就把她送

【健康科普】小儿支气管肺炎与小儿支气管炎的区别

小儿支气管肺炎是怎么回事

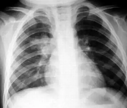
支气管炎一般多久能好(小儿支气管肺炎是拖出来的吗)-第2张图片- 好文

小儿肺热清颗粒联合阿奇霉素治疗急性支气管肺炎患儿的效果论文

随机推荐

养老网 - view resthomeimage

明星戚薇,时尚潮人小白等都在背的经典包 #baguettefriendsforever

拉萨痣医院_拉萨治疗痣哪家医院好_拉萨治疗痣权威的医院/排行_有来

部分图片还是被王源粉丝恶意p图流传的

皮卡丘简笔画

连帽牛仔外套女2022年新款秋款港风复古浅色韩版宽松休闲上衣潮

这款法式宫廷风的裙子,将皇家蓝面料与白沙蕾丝巧妙结合,展现出高贵与

最美女毒枭一位临死前提尴尬要求一位安乐死