【育儿学堂】小儿支气管肺炎(下篇) ----治疗与护理

相关图片

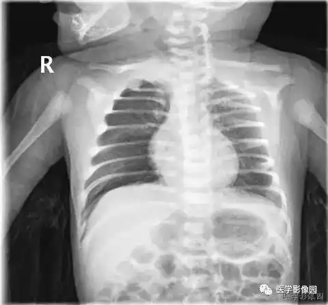
女童未及时就医诊断小儿支气管肺炎联合用药得以缓解

小孩四岁发烧不退诊断为肺炎,帮忙看下两次片子是否好了

宝宝一岁支气管肺炎

孩子3周岁多点,支气管肺炎入院治疗,6天后,孩子明显好转,医生依然让

一岁 肺炎

随机推荐

辛巴狗日常搞笑有趣神经语录

每一张都是绝美的壁纸!

清纯泳装美女泳池俏皮迷人写真图片

justinbieber在ins发布新专辑动向zt

《冰菓》 动漫情头丨情侣头像

全民摄影时代 海边清晨|摄影|全民|时代_新浪新闻

假发男短发韩版帅气碎发齐刘海男士自然头套男生网红蓬松假发套

钟表眼镜 女装 女式牛仔裤 女装秋装休闲女裤淑女韩版修身牛仔裤小脚