biggest 巨型流行减压感官玩具,大号超大超大玩具,256 400 个超大礼品

相关图片

本店火热更新24款解压神器发泄减压玩具挤爆眼公仔创意整蛊熊大熊大

可爱猪猪捏捏乐减压玩具解压慢回弹发泄猪儿童玩偶公仔创意礼物鸭大号

解压治愈小鸡鸡公仔毛绒玩具减压超大玩偶鸡抱枕生日礼物女生创意

六一儿童节礼物网红解压大猩猩玩具变形玩偶抗揍王总发泄减压神器配

25cm超大号慢回弹超大华夫饼干 squishy慢回弹婚庆礼品减压玩具

随机推荐

安以轩壁纸桌面图片-1280x1024.157k.高清大图-明星写真馆n63.com

苹果11promax 更换超容量电芯,电池恢复100,又可以 - 抖音

白敬亭的喷血露点帅照建议看最后

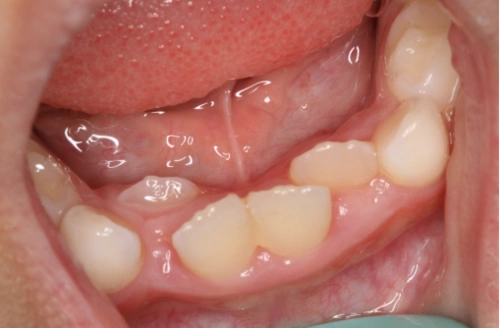
儿童下门牙双排牙是怎么回事

wallpaper engine 壁纸推荐第五十六弹 —— 惊艳动漫人物7(超长合集)

黄景瑜怎么可以这么帅?

唯美治愈动漫风景高清桌面壁纸

兄妹情.父母半生恩 手足一世情 世界上最好的礼物就是手足情深 - 抖音