牙齿美白.牙科保健概念

相关图片

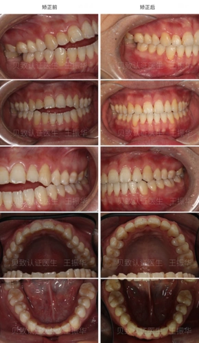
正畸安氏分类诊断标准及牙齿骨性一类二类三类的区别

牙齿的色泽往往会影响一个人的仪容,许多人会由于牙齿的色泽选择"笑不

为什么明星的牙齿都那么白

有普通人能效仿的美白牙齿的方法吗?

新嫁娘的完美笑容必备一口亮白的牙齿

随机推荐

tvb1991日月神剑两部合集张卫健郭晋安杨羚国粤双语中字gotv源码mkv共

q版人物眼睛绘画教程

yomi 出生也是耳软骨塌陷,没有粘连(我也是出生5天医生扯的时候我才

木村拓哉 写真合集

告别大妈感,45岁女性必备的10款"锁骨卷"发型:既时髦又气质

二次元 #动漫 #动漫女神 #女生动漫头像推 - 抖音

贝加尔湖畔钢琴简谱-李健演唱1

吃饭先喝汤,老了不受伤,跟广东人学炖汤,果然好喝