虎牙矫正的最好方法虎牙怎么矫正

相关图片

科普知识——虎年话虎牙

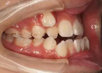
完全长偏了的虎牙

一闭可以露出两个大门牙,看着就像小兔子的感觉,再换一个是一对小虎牙

如图,左边的虎牙是4年前摔断了半个,然后牙神经拔掉了,右边的门牙是小

我这个虎牙和大门牙太难看了

随机推荐

好好用脸#@crystal张天爱在今日更新的《乘风破浪》里,疯狂成为搞笑女

肖战禁欲系大片公开,粉丝直呼a爆了!

创新科技研讨会背景板蓝色科技h5素材背景

vogue杂志封面的搜索结果百度图片搜索

刘德华在《十面埋伏》中

超好吃卡通系列之烤串

未了情【田震】 - 南无阿弥陀佛~净心 唱吧,玩音乐,就上唱吧!

许杨玉琢