记录虎牙正畸第一个月

相关图片

你们谁知道有虎牙的怎么矫正,不能拔!拔了会让嘴巴塌陷

虎牙什么时候矫正较好

虎牙正畸_牙齿矫正_牙套_皮筋_美妆_医美整形

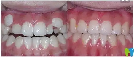
虎牙牙齿矫正,来张三个月的对比图呗

王涪华医生成人虎牙矫正前后对比案例图

随机推荐

花姐档案简历(草根花姐:从大排档歌手到春晚演唱,如何凭一首狂浪火遍

香辣虾仁

吴磊《在暴雪时分》开机照曝光!笑容很阳光,赵今麦令人心动!

同趣棋牌官方

两边短,其余头发长的发型叫什么名字 女生掏空鬓角发型不止爱短发

人民币背面的风景图都是哪里,收藏吧97.#钱币百科 #重点 - 抖音

假尖锐湿疣白醋测试图片_有来医生

红白机热血系列