种植牙后,图

相关图片

其它 我的美篇 我院自开展种植牙手术以来已经成功完成上百例

种植牙术前术后拍片对比

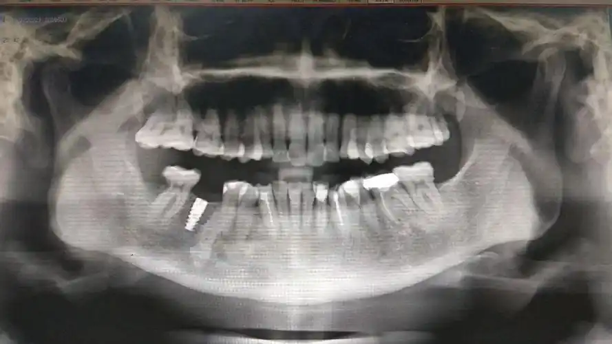
吴女士种植带冠后的牙片显示,种植体就位精准,受力均衡

青年牙医胡医生种植牙病例分享

我的种植牙日记机械维修工程师的渡江口腔种植修复之路

随机推荐

青雀记原创古风简约盘发步摇簪子古装森系汉服旗袍头饰广寒谣发簪

吉克隽逸时尚造型来袭,这也太抗冻了吧,不过是真的很美丽

模型m416突击步枪纸板实物切割板材材料diy其他类型纸模

说说大家将要面对的问题:量体温的日子即将过去,量腰

看完张歆艺这些细节:才明白她再婚还能嫁袁弘,靠的不只是运气

【胡彦斌】

创造101"火箭少女"女团logo长这样?真不是拿jio画的吗!

抖音大神们这是啥车?车标好像一只狮子,又像一只豹子,头顶上一 - 抖音