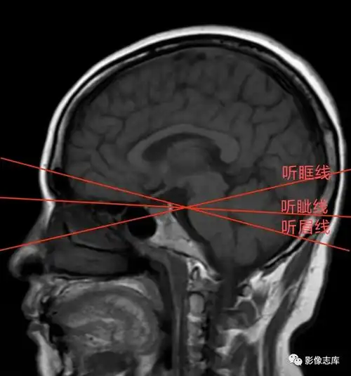
头颅ct扫描时如何打角度才能看得更多更清晰

相关图片

头颅ct 解剖图谱,人手一份

图-1:2019年2月10日头颅ct患者2019年2月初,因数次出现发作性黑蒙

头颅ct提示高密度影是脑出血吗

头颅ct断层解剖

头颅ct扫描时如何打角度才能看得更多更清晰

随机推荐

【林俊杰】江南|20240505 林俊杰jj20世界巡回演唱会-深圳站

朱茵的隐居生活并不是因为经济拮据,而是出于对简朴,宁静生活的向往.

丹麦日德兰半岛的古老木风车.

软件使用说明书封面

155&180身高差情侣拍照|电影感 戴着口罩也可以拍出电影感 —— 95

伪娘用品秋冬季新款伪娘装韩版女装性感蕾丝修身显瘦变装cd连衣裙

lol影流之主劫原创

搭配白色高跟鞋,喇叭裤的设计无疑是给这件衣服增添了一种与众不同的