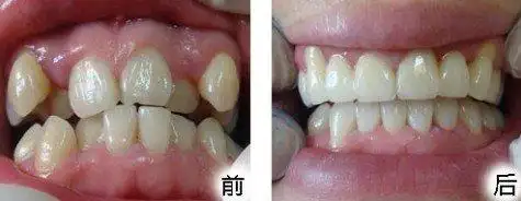
虎牙矫正前后对比图

相关图片

拔掉虎牙牙齿矫正后两年的变化

虎牙矫正前后对比图

可爱的虎牙能拔吗

牙齿矫正.去年库存,来找我看牙这种虎牙翘起来的特别多,怎么解 - 抖音

虎牙矫正 十几岁的时候,在牙科诊所看过,说要上拔两颗,下拔两颗.

随机推荐

陈伟霆新剧剧照,落泪情绪感海报!好有感觉的说!__财经头条

29岁李沁一改清纯路线写真穿吊带长裙小漏香肩冷艳霸气获好评

景甜- 堆糖,美图壁纸兴趣社区

会呼吸的色彩绿发男子特辑

高跟鞋韩版ol淑女款细跟高跟银色防水台鱼嘴鞋女士高跟单鞋

红酒的女人

新款狗牌6块(活动中) 汪汪队玩具狗牌徽章莱德队长召唤器音乐平板旺旺

奉贤网站建设咨询_(奉贤网站建设咨询公司)