尽锐出战担使命脱贫一线践初心记全国脱贫攻坚先进个人许海清

相关图片

全县政法队伍教育整顿调研座谈会在滨海法院召开

【焦点】中国电科院 许海清:"双碳"目标下电力物联网助力推进能源系统

临海市委理论学习中心组举行"不忘初心,牢记使命"主题

国网江苏省电力有限公司发展策划部主任许海清透露接下来江苏电力将以

这场声势浩大,黑帮云集的葬礼,其主人公就是许海清.

随机推荐

西安高端商务ktv夜总会排名以及人均消费一览表 - 知乎

极致好看温柔魅力清纯的女头 温柔超级青春真人女生头像_女生头像_美

男发别乱剪,看看这几种,剪完就是帅|烫发|短发|发蜡|发型师|男士发型

唯美自然风景高清桌面壁纸

在古时候,人们在边塞建了烽火台来预警敌人来犯,只要一把火就能向数十

tnt时代少年的个人空间 -acfun弹幕视频网 - 认真你就输啦 (?ω?

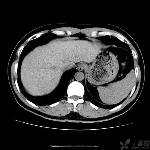
【讨论】肝内胆管轻度扩张,有哪些原因?

原神 空荧