虎牙矫正案例对比

相关图片

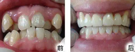
真人案例 | 牙知道虎牙矫正前后对比有差距

虎牙矫正前后对比图

虎牙矫正前后对比

磨牙怎么解决? - 知乎

时尚 正文 还有白百合,左图是原本的牙齿,门牙有点大,还有虎牙,下排

随机推荐

海洋王jw7622强光多功能巡检手电筒

炙爱之战丨谢娜回忆婚礼瞬间被何炅的誓词感动到了

2020年新版儿童身高标准出炉10岁140cm都算矮了怎么长的

颧骨宽下巴短女生适合的超短齐耳短发发型

嫩模绮里嘉ula清新写真ipad4壁纸_美女壁纸_壁纸下载_美桌网

室外演出舞台灯光效果图

论男扮女装,这10位男演员反串表演非常出色,才是"教科书"演技

虫子在他皮肤下滑行,肉眼可见:这病有生命危险