王涪华医生成人虎牙矫正前后对比案例图

相关图片

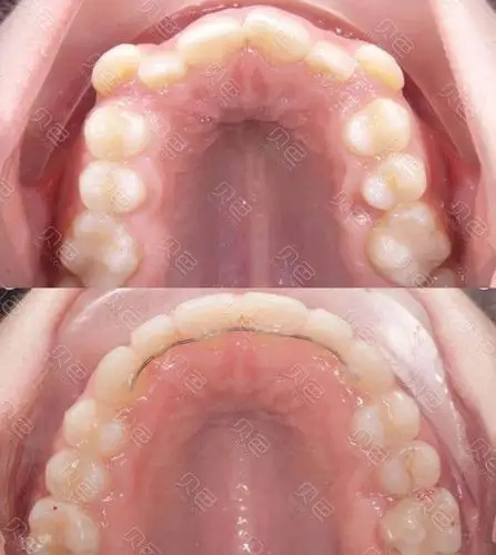
口内治疗前后对比

儿童虎牙矫正前后对比

虎牙矫正前后对比图

虎牙矫正前后对比图

复杂虎牙病例矫正对比图

随机推荐

《青春舞曲》民族舞蹈演出背景视频晚会节目动感炫酷

原创董璇又美到我了穿绿色西服套装酷炫霸气时尚感一点不输超模

三星堆3号坑出土超120根象牙,距今3000多年,究竟从何而来?

苗药肤毒净百草止痒皮肤病湿疹肤毒清王皮肤瘙痒过敏癣痒灵苗药膏 发

自制户外多变折叠桌 - 抖音

女性咖啡色头发的颜色是比较自然,比较保守的发色,在这种颜色的中长发

edgar allan poe

首页 桌面壁纸 动漫情侣亲吻合集高清桌面壁纸上一张下一张查看原图