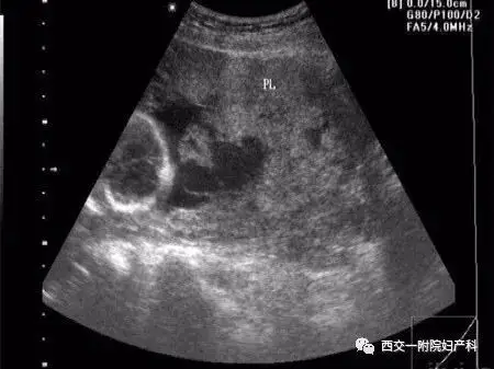
胎盘血池是什么?

相关图片

胎盘血池常见不是出血不用焦虑

胎盘血池.

胎盘内血池变大了

胎盘血池相关知识

胎盘的超声评估_胎儿_前置_子宫

随机推荐

欧阳娜娜机场现身马丁靴搭铅笔裤显腿细身材好穿羽绒服不显胖

今麦郎方便面一桶半弹面香辣/红烧牛肉面12桶装速食泡面整箱特价

星空头像图片 星空星空头像

迪丽热巴侧颜高清4k壁纸

美式灰色运动裤女休闲宽松束脚 - 抖音

创作灵感 #2023兔年头像 #新年头像 #ai绘画 #祝 - 抖音

山河令温客行周子舒壁纸

13个庭院鱼池设计,在院里建造一个假山鱼池,赏花观鱼太美了_028wgk