悬雍垂乳头状瘤 自切除 - 知乎

相关图片

悬雍垂软腭鳞状细胞癌

医生在电子喉镜下所见:喉部粘膜慢性充血,悬雍垂见淡红色乳头状新生物

舌癌扩大切除 前臂皮瓣修复(游离皮瓣修复)

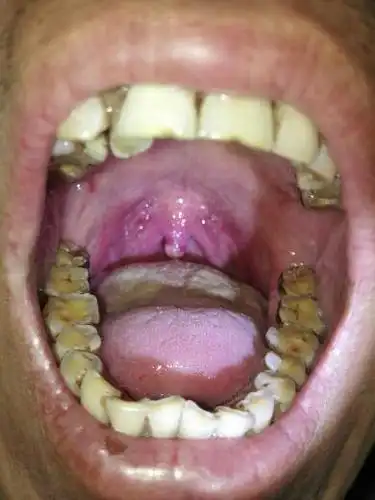
悬雍垂乳头状瘤?

胃癌有迹可寻身体会发出三个早期胃癌信号千万别大意了

随机推荐

易烊千玺高清手机壁纸.#易烊千玺 #tfboys十周年 #t - 抖音

迪丽热巴全面屏手机壁纸.#迪丽热巴 #迪丽热巴手机壁纸 #迪 - 抖音

某电台 dj在社交平台晒出与张学友女儿张瑶萱一起外出打游戏的照片

枪毙女犯人 枪决女犯人现场

白头发,脱头发是脾肾两虚:藏在头发里的"健康密码

迈克-金馆长

手把手教你给风衣腰带打结

苏瓷:高冷动漫女头成熟个性动漫唯美小红书卡通动漫头像我要