基本组织理论与实验ppt

相关图片

组织学与胚胎学图谱详细版

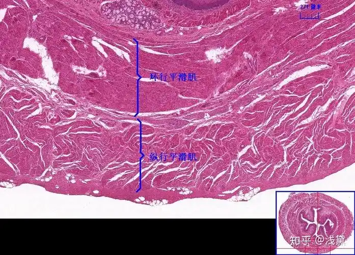
8.食管(纵行平滑肌,环形平滑肌,食管腺)7.

催产素会令乳腺管周围的微小肌肉收缩,肌肉收缩会挤压乳腺管,在婴儿

组胚红蓝铅笔绘图

这么垃圾,我这个就是其他细胞画少了,因为小肠绒毛不止是有中央乳糜管

随机推荐

李沁资源好新剧又定档央视新搭档王一博将与老搭档肖战决高下

桔黄色头发颜色图片 不夸张的头发颜色图片_发型师姐

土家民俗文化节丨指掌间的非遗——杖头木偶戏

罗晋克拉恋人暖宝宝点燃少女心

一娉一笑,皆挑动着人们的喜好,你就是最美的李沁

湖北籍演员张博涉毒被抓 系谭维维前男友

遇龙纯情龙王为爱守护生生世世王鹤棣祝绪丹演绎四世情缘

莲花陶瓷座莲台蚂蚁观音九品九品莲底座供佛加高摆件