15个乡村"庭院小花园",网友直呼:我要回村建园子!

相关图片

玩转庭院:你家小院设计了吗?庭院不仅要实用,还要有美的气质!

玩转庭院15个现代庭院花园设计案例赶紧回家建一个吧

原创玩转庭院15个小型庭院花园设计小院子也能实现花园梦

原创玩转庭院15个小型庭院花园设计小院子也能实现花园梦

私家庭院景观设计实景图赏析!

随机推荐

绿色系护眼壁纸

二次元中你最喜欢的粉毛角色有哪些 在粉色头发的动漫角色中,推荐一下

唐艺昕深v亮片裙尽显曼妙好身材 紫色眼妆优雅摩登 唐艺昕,出生于四川

摩丝摩丝春节插画手机壁纸~财神到

满背云龙九郎鲤鱼添加满背_纹身吧社区 - 纹身大咖

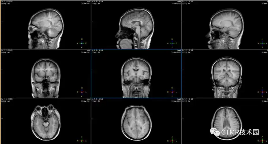
手把手教你基础颅脑mr平扫及后处理

南京师范大学仙林校区.

lolm泳池派对太美 皮城女警凯特琳超惹火泳装写真-游戏视频-搜狐视频