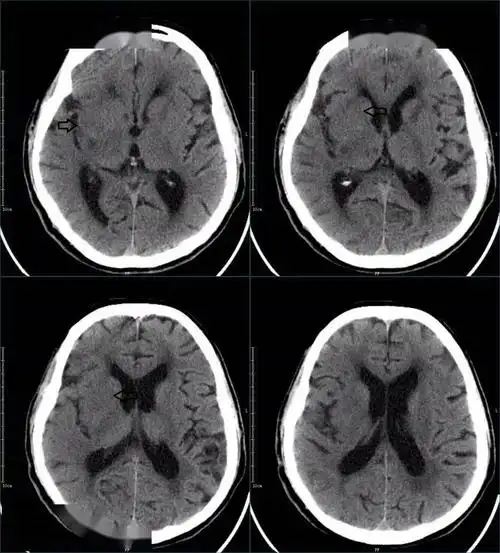
67超急性期大面积脑梗死ct平扫表现

相关图片

外院ct平扫

左肺巨大肿块,ct平扫及增强扫描,三天后公布结果

首先09年ct平扫

胸部ct平扫示左下肺占位——肺癌_淋巴结

2012-5-15胸部ct平扫(a医院)

随机推荐

有人爆易烊千玺去看薛之谦演唱会,首先,无据就不要乱传

手绘头像 #手机壁纸 #头像约稿@小红书成长助手

古装031--喜庆中国红20 - mingl的日志 - 网易博客

陈伟霆电视剧风暴舞真好看啊

扮鬼脸的女明星,郑爽呆萌可爱,angelababy还是女神吗

卡通黄色信封 (1)

纯钛超轻近视近视眼眼镜女潮眼睛半框配有度数定制成品光学镜

snh48戴萌巴啦啦小魔仙之魔箭公主首映会返图合集