补充一下:所指的"虎牙"学名为尖牙,通常为圆钝型状,当为锐角型时

相关图片

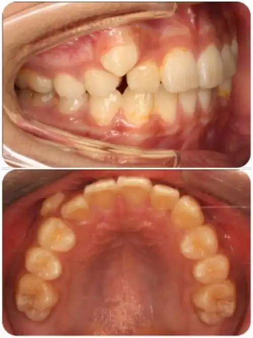
二,虎牙与双尖牙错位这位客人,三号牙和四号牙错位,前段牙弓间隙,后段

林允为什么整掉标志性的虎牙?林允表白吴亦凡是怎么回事?

尖牙vs虎牙 这次我pick这颗长得壮又能吃的牙_儿童牙病_疾病介绍_相关

虎牙又可以叫犬牙或者尖牙,不少虎牙是因为尖牙位置受到了别的牙齿的

造成恒尖牙没有空间萌出,就被推挤出去变成虎牙了

随机推荐

90年代日本房价暴跌民众相约自杀至此悟出2大真理沿用至今

袁冰妍穿搭让人记忆深刻,百变时髦,魅力十足,美出新高度.

《闯关东》,他的第三部戏,军装诱惑然而,你们以为朱亚文只是狂霸拽

敖子逸鎏金西装la villa hubl.近日,敖子逸一身鎏 - 抖音

小鬼王琳凯 - 堆糖,美图壁纸兴趣社区

《家庭秘密》第37集02:洪一平对刘子月说了她弟弟的事,她说这是培养

原型流程图

发型设计 儿童发型 >> 男幼童个性偏分短发设计 2020年小绅士必梳的