12种简单少女发型画法(纯0基础噢)做了一期可爱的女孩子头发 - 抖音

相关图片

简笔画春日女孩的画法教程

女孩画法超人简笔画步骤图片大全女老师人物简笔画大全简笔画的卡通

女孩的简单画法 - 可爱的卡通女孩简笔画

小女孩的简笔画简单又漂亮小女孩的画法简单又漂亮

超萌超简单卡通女孩画法,超萌超简单卡通女孩画法可爱(109张超极简案

随机推荐

大结局,佟年韩商言举办婚礼,小米向亚亚求婚_李现_真香_杨紫

62岁刘德华在香港为父亲举办丧礼!

【微信头像】博君一肖

王子文怦然再心动私服合辑7种风格随便穿谁家直男不喜欢

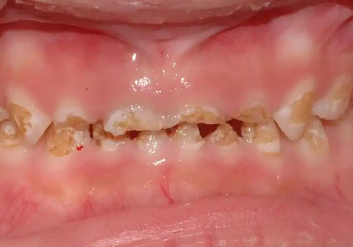
严重龋齿的图片_有来医生

相遇相识,已是不易 相知相伴,更是难得 相守相携,必须珍惜

国歌歌谱 第1页 (共1页,当前第1页) 你可能喜欢 歌谱网 国歌歌词 校歌

韩国女生真会穿!裴珠泫常见衬衫配黑裙,一个方法却搭出时尚感?