海贼王 路飞 高清电脑壁纸下载第四辑

相关图片

海贼王路飞炫酷霸气图片桌面壁纸

路飞- 堆糖,美图壁纸兴趣社区

海贼王路飞 - 堆糖,美图壁纸兴趣社区

海贼王 路飞 高清电脑壁纸下载第二发

开心的路飞 动漫壁纸 动漫图片大全 动漫桌面壁纸大全 免费动漫高清

随机推荐

tvb女星刘俐7年前被曝出和富豪住一晚25万今日又爆出新料

壁纸来啦!祝了几张图#鹿晗三巡 #鹿晗 - 抖音

热搜霸屏2021春晚段子太好笑了还有一批隐藏彩蛋

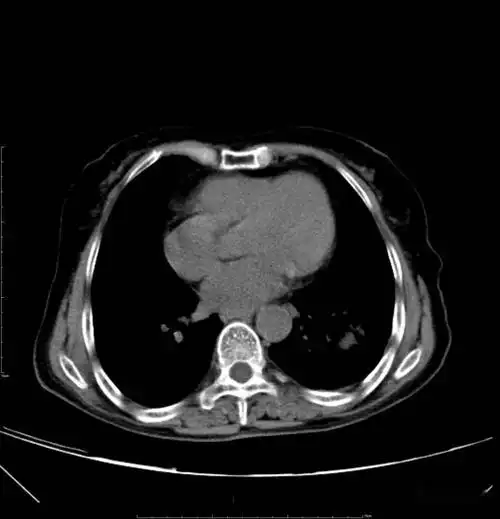
胸部ct平扫示左下肺占位——肺癌_淋巴结

成熟女性头像微信40岁 有韵味成熟有魅力女人微信头像(2)

清凉谷·2020.

性感爆表的金晨 在暗色调的环境中,金晨身着一袭大红色的低胸开叉

大写z_纹身图案手稿图片_kong的纹身作品集