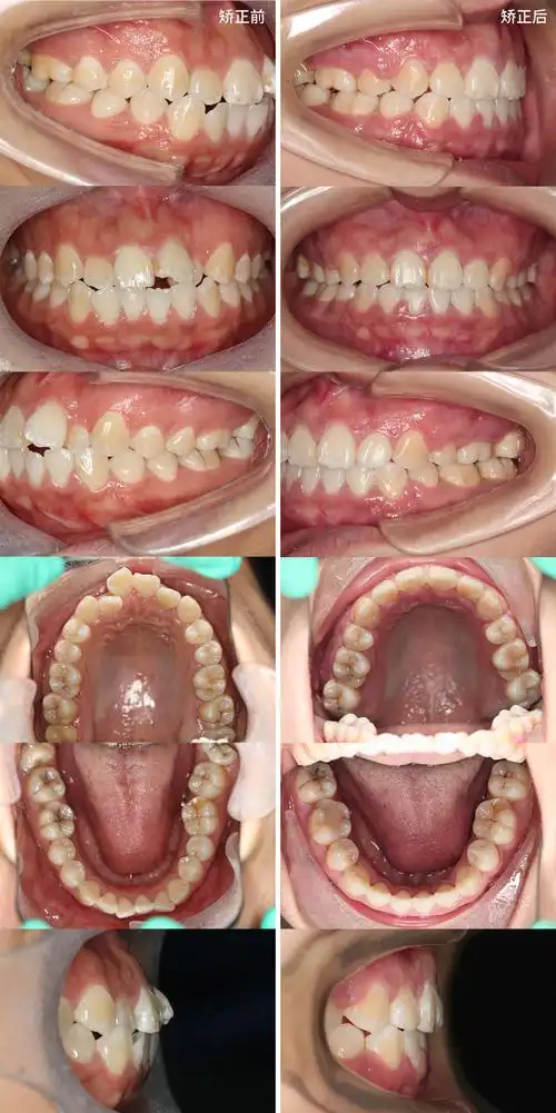
牙齿矫正前后对比

相关图片

郑州唯美口腔牙齿矫正多少钱这几种材料热销人气高

漫漫正畸路.#牙齿正畸##牙齿矫正##牙套毕业# #前后对比 - 抖音

矫正前后面像对比

龅牙矫正前后对比图片,牙齿矫正,龅牙图片,龅牙矫正,牙科网www.

牙齿矫正前后对比实在太大啦!30多岁都不算晚!

随机推荐

现代庭院看风水不在是像以前一样仅仅是拿着罗盘在庭院四周看方位

机车皮夹克 saint laurent 衬衫 canali 领带 牛仔裤 均为 gucci

小可爱赵露思今日bvlgari活动造型,白色一字肩亮片礼服

蔡健雅

水粉画的调色配色公式

如何学习声乐?

双馨女艺人伊莉莎·伊瓦拉(eliza ibarra),靓丽容颜下的小酒窝

天然造型外皮颜色黄河石河洛系黄蜡石水冲造型原石河洛玉