ida血涂片镜下晚幼红细胞

相关图片

实验诊断学 早幼粒细胞 ↓ ↑ 中幼红细胞

早幼红细胞

实验诊断学 晚幼红细胞

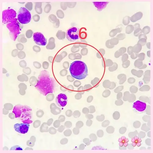
其它 基础细胞图片 写美篇答案:中幼红细胞 形态特征:胞体呈圆形;胞质

看图识细胞第62期

随机推荐

少年不知蓝洁瑛,中年不懂ig

蓝色头发的李知恩

大海风景画碧海蓝天白云海滩沙滩椰树自然景色风水装饰画海报 s17

一家四口发圈的幸福说说 朋友圈晒一家四口照片配文字

《曾少年》大结局,看懂王莹杨澄的重逢,才知爱比不爱更伤人

金色烫金祥云纹样免抠素材_免抠元素_装饰元素_中国风共享免费下载

ins海画壁纸

轻松变帅的9款46分男生发型