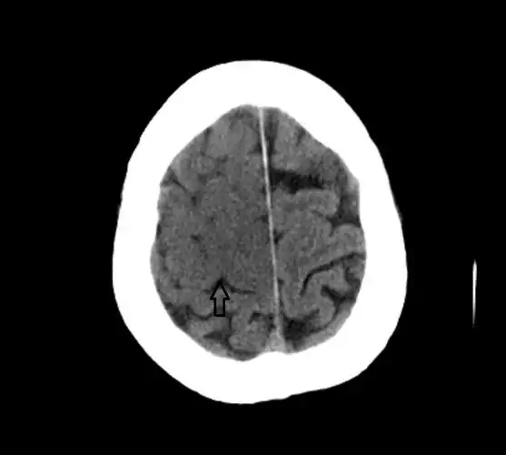
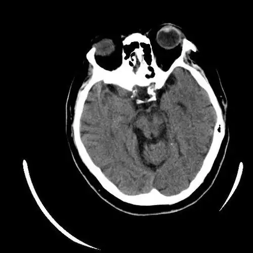
67超急性期大面积脑梗死ct平扫表现

相关图片

67超急性期大面积脑梗死ct平扫表现

67超急性期大面积脑梗死ct平扫表现

67超急性期大面积脑梗死ct平扫表现

67超急性期大面积脑梗死ct平扫表现

67超急性期大面积脑梗死ct平扫表现

随机推荐

倒计时30天,准备卸货迎接我们的小宝宝啦~这个宝宝的到来真的是让我

情侣主题壁纸

朴宝英的安利课堂

监狱_图片大全—全景创意图库(quanjing.

滨州永生广告传媒有限公司-滨州广告公司_滨州广告_滨州永生广告

二青会|游泳:体校甲组男子200米自由泳决赛赛况

北京星医汇张龙金主任下颌缘吸脂和双下巴吸脂部位有什么区别

龙港市第二届人民政府第一次全体扩大会议暨2022年十大亮点工程推进会