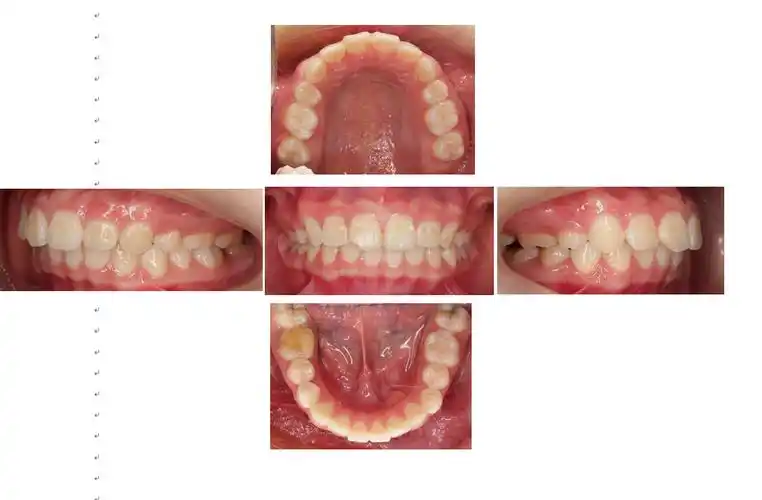
两颗双尖牙的死与生

相关图片

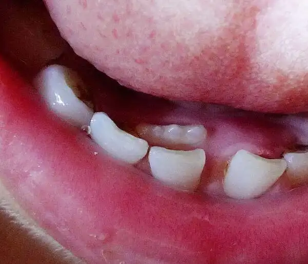
儿童出现双排牙怎么办

昨天拔了右上的最后一颗双尖牙,上牙也换了粗一点的钢丝.

【病例展示】——下颌双尖牙缺失种植修复病例

宝宝的"双层牙"是这样被"喂"出来的, 很多妈妈都还在犯

出现双排牙需要做手术吗?

随机推荐

女神周韦彤代言全民斗三国宽屏壁纸

69发型教程大166新生开学百搭背头

小汪叽 大wifi 魔道祖师 忘羡 - 堆糖,美图壁纸兴趣社区

赵丽颖最新国风大片曝光,网友直呼:把美打在公屏上!-中国着装

由黄景瑜,许魏洲主演的网剧《上瘾》将翻拍泰国版

男生一个人的孤单背影图片伤感男生头像头像孤独图片男生孤独伤感背影

最新拿下国产宝马双r 23年10月份刚买的车 安全行驶了两百 - 抖音

在可燃物和天气条件都有利于森林燃烧的条件下,火源是发生森林火灾的