易烊千玺

相关图片

易烊千玺

烊千玺手持新生之夜大秀官宣海报,这一消息无疑让众多科技爱好者和

易烊千玺

易烊千玺

易烊千玺

随机推荐

会扑鱼的鸬鹚,创意儿童画教师范画

何超莲婚礼耗资5000万,郭晶晶大婚却只花了3000万,为何前者却还是被秒

赛罗奥特曼月神形态

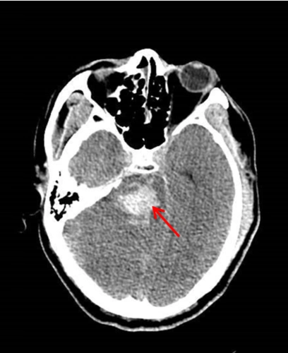
术前颅脑ct可见脑干出血.

大帅(韩国女团传媒)头像

劳动合同违约金范本.doc

来自郑州的央视署名主持人海霞

准新总统座驾就位.奔驰 迈巴赫s级 2020款 s 450 - 抖音