小可爱的男孩和女孩拥抱在白色背景上玩开心的家庭笑

相关图片

可爱的孩子,男孩和女孩,手风琴,小提琴 壁纸

102238卡通可爱小男孩小女孩小学生矢量素材1022497手绘卡通植物荷花

小可爱的男孩和女孩拥抱在白色背景上玩开心的家庭笑

可爱的小女孩和男孩在秋天公园吃百吉饼棒棒糖小女孩可爱的小女孩野餐

亚洲的可爱男孩和小女孩的微笑和看相机

随机推荐

清爽唯美的海滩风景图片桌面壁纸高清大图预览1920x1080_风景壁纸下载

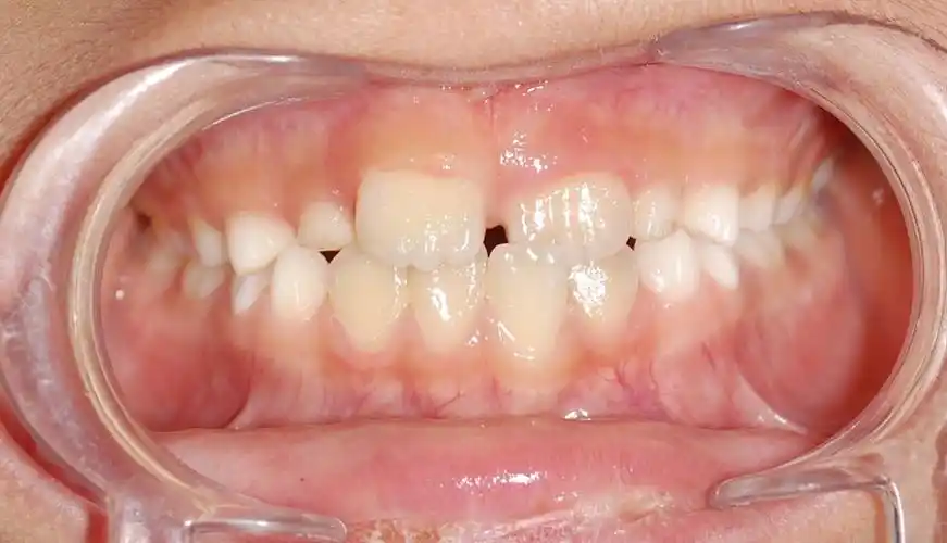
左上中切牙被包住了,叫个别牙地包天,也需要矫治除了看牙齿咬合,还有

李小冉个人资料(女神李小冉的坎坷情路) - 百科全说

保罗柏琳轻奢品牌男装高端欧货新款复古蓝牛仔裤修身直筒裤弹力时尚

周迅小唯

吴青峰太空备忘记演唱会服装造型

卯金氏九九润古方苗肤灵霜卯金氏九九润古方苗肤灵霜皮肤外用乳膏

钩针玩偶图解