4毫米; 上排术前:牙齿拥挤,后牙咬合关系不佳 矫治通过减数4颗双尖牙

相关图片

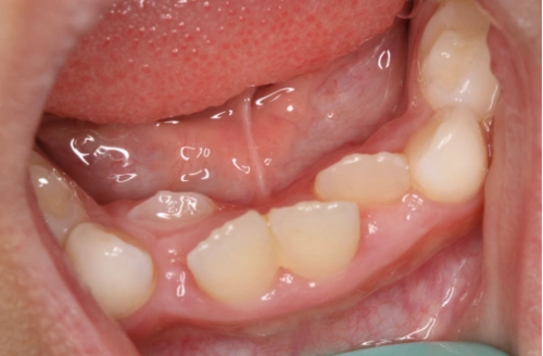
为啥孩子会长"双层牙",医生:和家长的喂养习惯有关系

医生,我家孩子长了双排的牙齿,怎么办

儿童下门牙双排牙是怎么回事

双尖牙的修复

孩子长出电影中"异形"般的双排牙齿,家长惊慌:莫非宝宝是超人

随机推荐

林志炫擦声而过磁带3

168cm|150斤|告别虎背熊腰!胖女孩也有夏天 蓝色的碎花连衣裙超吸睛!

少儿创意美术画—拥挤的小鸡.可爱的小鸡,一起来画吧!#幼儿园 - 抖音

范丞丞蓝发造型

全民互动卡牌手游 《全民英雄》试玩体验

简约纯色高清个性桌面壁纸 第二辑高清大图预览1920x1080_设计创意

《星际争霸》游戏原画高清桌面壁纸

光遇夜萤火虫和你乐谱