肩关节正位-x线图

相关图片

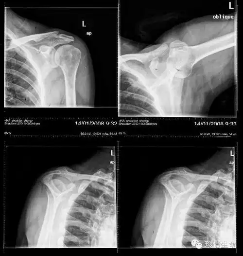
中年女性,发现右肩关节占位2天.有特征,有细节---(有结果)

肩痛康复肩关节损伤影像诊断技巧

山西省首例反式肩关节置换术由向川主任团队成功开展 - 好大夫在线

术后右肩关节正位片

肩关节的摄影体位课件ppt

随机推荐

2020年9月13日,李沁北京机场街拍.鸳鸯色针织开衫搭配热裤,时髦养眼.

郭俊辰赵今麦七夕海边氛围感大片好甜好pay

鱼鳞病鸡皮肤老人手的改变用鱼鳞皂鱼鳞膏日常洗澡皮肤就可以改变了

体育"异"采各自扬——记2021年市直高中体育与健康学科优质课评审活动

65岁奶奶, 白发不染, 穿搭体面, 不扮嫩也不服老|发型|女性身材_网易

宁静唯一一段婚姻嫁给了美国人,婆婆和丈夫做的事情让她断然离婚

樱花树下,可爱小狗[太阳] #动漫壁纸美图

黑色西装外套女秋冬白领职业装