陈嘉男亮相湖南卫视春晚 "欢乐制造机"搞笑实力惹人爱_综艺资讯_大众

相关图片

38岁童星去世小龙人陈嘉男承诺为其养俩女儿戏骨悲痛悼念

"小龙人"陈嘉男近况曝光,身材健硕变化大,开车玩漂移男人味足

陈嘉男 吻戏_百度视频搜索

欢乐喜剧人6季张浩女主演是谁陈嘉男个人资料介绍

福星盈门:韩兆与陈嘉男的恋情不被爸爸看好!

随机推荐

你的体重和身高成正比吗?你测过吗?

ufc最成功的男人——康纳·麦格雷戈

济南宽厚里韩式烤肉店装修

任妙音女神的一首 《最亲爱的你》欢迎围观@{uid:1502349662339070

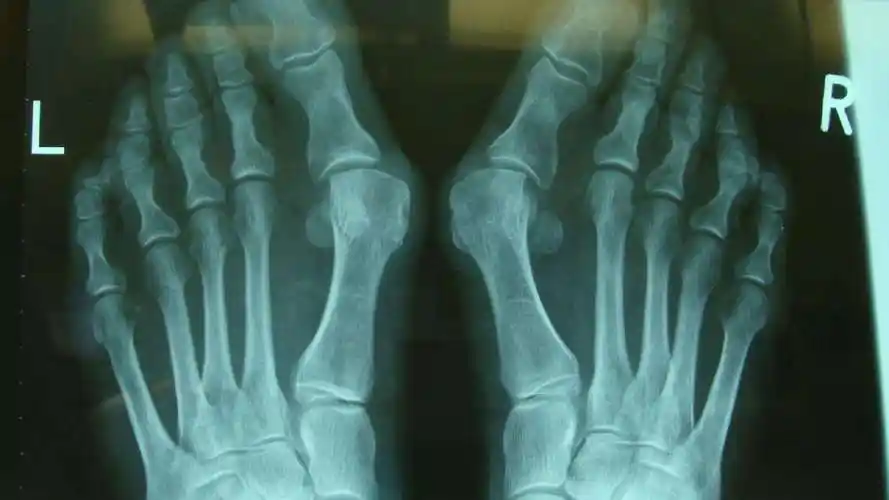
大脚骨scarf akin截骨 - 好大夫在线

幻彩软膜天花灯箱 卡布灯箱厂家电话

黑色晚礼服女短款小个子气质显瘦纱裙生日派对聚会主持平时可穿

舞台上的全息投影艺术与科技的结合