什么样的牙齿要拔除呢? - vvsmile牙齿隐形矫正的回答 - 头条问答

相关图片

第二双尖牙有换吗?

别再这样喂养孩子,小心养出双排牙的小"怪兽"

10个孩子里5个长双排牙,医生感叹:都是家长喂出来的!

医生,我家孩子长了双排的牙齿,怎么办

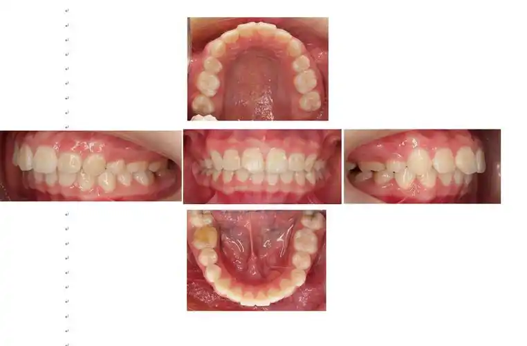
拔除上颌两颗双尖牙改善开唇露齿

随机推荐

刘德华年轻时的照片太帅了

champion大中华区品牌代言人王俊凯

祺鑫(马嘉祺 丁程鑫)-叫我甜甜吧_最新章节-免费小说-全文免费阅读-叫

突围林满江扮演者与靳东何琳牛俊杰的现实关系耐人寻味

高冷霸气真人女生头像黑白侧脸

【太空行动】超难d赏金猎人追杀挑战!

漂亮唯美女生动漫皮肤

酷奇品牌高跟鞋女细跟尖头气质女神范床上情趣2022春新款性感职业法式