颅脑ct怎么看正常和异常影像分别是什么

相关图片

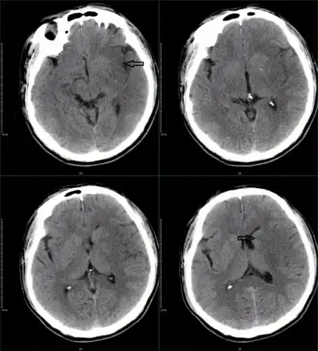
67超急性期大面积脑梗死ct平扫表现

患者入院后头颅ct提示蛛网膜下腔出血,以脑干前方为主,提示后循环

皓月ct头颅图像技术和样片分享

图-:2014年11月24日脑ct.png

最全的颅脑常见病ct表现在这里!

随机推荐

明月山,岐黄小镇,三皇宫旅游

王一博肖战博君一肖芭莎杂志cr万小鹿1997勿二传二改

曾舜晞你傻呀生气soogifsoogif出品gif动图_动态图_表情包下载_soogif

一身仙女味的可爱清新女生头像 超好看的女生美丽清纯头像图片_女生

倪妮"下车照"曝光,穿深v 超短裤秀身材,把性感风穿出了高级感

还有许多可能从诞生到灭亡,我们都不会知道他们曾经存在过的电动车企

穿蓝色连衣裙的美女长的漂亮,气质优雅,真相上去对她表白

壮丽雪山风光