齿性红细胞 营养不良 肠功能下降 减肥人群 糖尿病患者 长期吃肉不

相关图片

那些年曾经被混淆过的红细胞

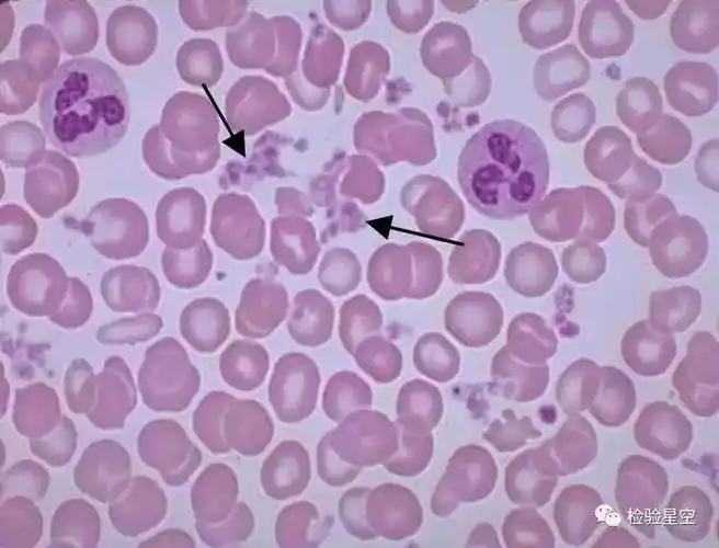
镜下结果血小板与网织红细胞通道结果基本一致,镜下还可见大量的细胞

这些红细胞异常,您都掌握了吗?

红细胞|淋巴细胞|粒细胞|血小板_网易订阅

皱缩红细胞:周边呈锯齿状排列紧密,大小不等,外端较尖.

随机推荐

华晨宇个人资料介绍(原生家庭伤害太深)

03年叶惠美时期的周杰伦我认为是颜值巅峰

宋小宝:与前妻霍晓红离婚后,又娶了粉丝王雪,如今已成人生赢家

有没有一种方式,可以在乌黑秀发的享受中,轻松摆脱白发的困扰?

心碎

线条可爱的浣熊野生动物在景观矢量插图

我的英雄学院胜出madmysweetestone

记者直击丨美国冻结阿富汗央行95亿美元 阿民众及商业活动面临困境