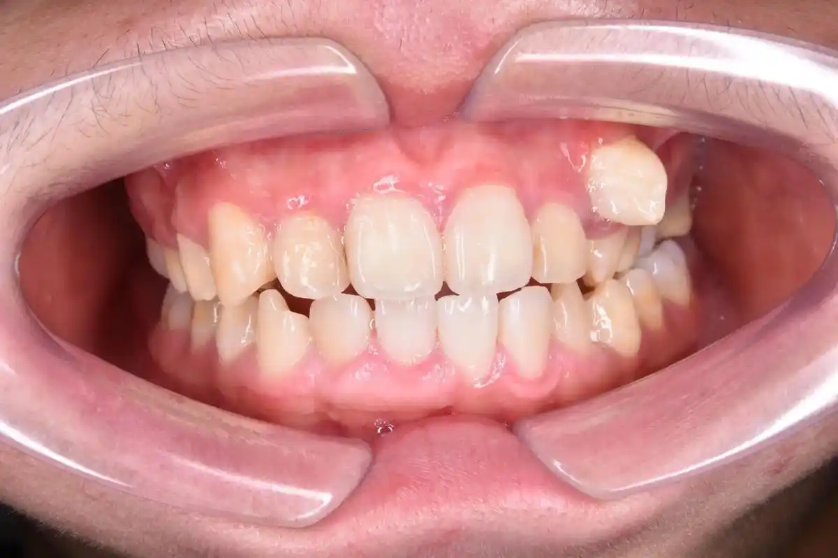
我是一颗虎牙,拔还是不拔?_治疗_位置_牙齿

相关图片

老虎牙终于拔掉了#掉牙齿的小朋友 #爱护牙齿 #掉牙的小孩 - 抖音

埋伏虎牙案例讲解什么样的埋伏牙需要拔除

可想而知虎牙根是有多长拔掉了歪歪扭扭的虎牙(根部都很歪)希望以后的

孩子的虎牙要不要拔掉 孩子矫正牙齿的最佳年级

【虎牙可以拔掉吗07】虎牙牙体粗壮,牙根深长虎牙还有支撑口角的

随机推荐

ins风日杂电脑ipad壁纸

正面,自由,数码,科技,草地,草坪,植物,绿色背景,阴影,网络,四叶草

加拿大多伦多城市夜晚道路摩天大楼灯

关键词 : 金色,皇冠,权利,高贵,至高无上,钻石,形状

这个世界就这样,这个世界就这样,说说,语录,文字

头像 画师:miya

肥城后黄村的幸福老人

曾主持《东方时空》,《焦点访谈》,《高端访问》,《环球视线》等.