原创杨幂不愧是街拍的神!穿短袖戴绿帽子素颜惊艳机场,大长腿太辣了_

相关图片

原创杨幂不愧是街拍的神!穿短袖戴绿帽子素颜惊艳机场,大长腿太辣了_

#林萧是你吗##杨幂街拍松弛感##杨幂巴黎街拍故事感#

#街拍星尚场#

杨幂最新机场街拍来了,穿棒球服扮"下衣失踪",细腿根本不用p|杨幂|下

杨幂又带火了"黑丝",素人街拍都跟风,回头率高还显瘦又高级

随机推荐

侯佩岑,欧阳娜娜喊统一口号「台湾必将回归祖国」

四大天王谁最帅香港四大天王颜值排名

原创播出前网友最看好甜宠剧别对我动心没前十以爱为营第5冠军是它

描述: 莱昂纳多·迪卡普里奥演员-男性名人壁纸 当前壁纸尺寸: 1920 x

图解| 冬至吃饺子喽!

烛龙四目,口中含烛

朱致灵未来可期

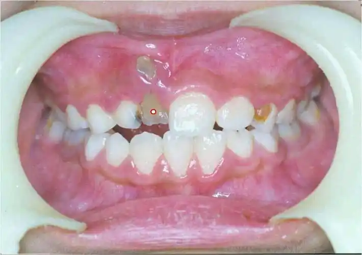
周炎波及恒牙16乳牙根尖周炎引起牙龈瘘管16乳牙根尖周炎将影响恒