黄明昊壁纸

相关图片

黄明昊 - 堆糖,美图壁纸兴趣社区

不追星也可以做壁纸系列#黄明昊 - 抖音

黄明昊 - 堆糖,美图壁纸兴趣社区

黄明昊 - 堆糖,美图壁纸兴趣社区

平铺壁纸黄明昊

随机推荐

微信头像易烊千玺

正在忙表情包没看到我在忙吗你以为我像你这么闲吗一定要收

她用穿了紫霞的衣服偷了云中君的翅膀却

p>艾伦·耶格尔,日本漫画《 a target="_blank" href="/item/进击的

爱就一个字吉他谱(图片谱,弹唱)_张信哲_爱就一个字01.bmp

耿为华娶小14岁娇妻宠妻15年后遭抛弃离婚时与女儿抱头痛哭

20张庭生日全民祝福老公更是大手笔! 网友: 真幸运没选择他!

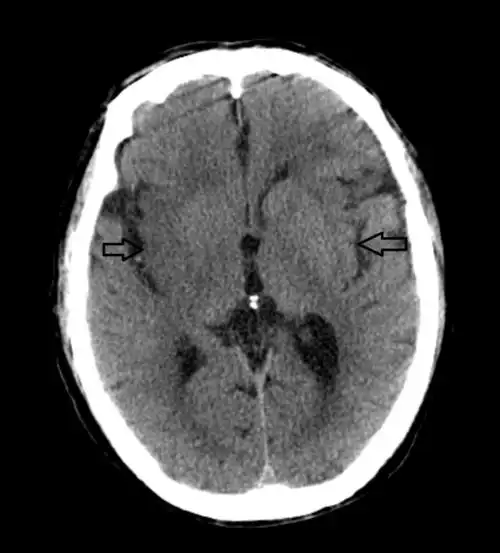
67超急性期大面积脑梗死ct平扫表现