枪条码 5800无线一二维码 枪项目烟酒餐饮零售 扫描枪扫码 科密ew -

相关图片

得力14882扫码枪超市扫描机快递把抢支付宝微信收款条形码扫码器_双氙

手持终端_ rfid手持机_pda_超高频读写器_数据采集器_工业平板_成为ch

h018l无线扫描长距离升级版扫码条码扫码枪巴枪快递条码扫描枪

【灵敏扫描枪】灵敏扫描枪价格_灵敏扫描枪批发-b2b采购批发网|找商网

得力扫描枪无线扫码枪快递把抢超市条形码扫描器有线二维码扫描仪 农

随机推荐

清平乐 曹丹姝/曹皇后 江疏影

「马嘉祺x你|做梦素材」做一个"合格"的秘书

原创女明星的四段感情虽是分手收场但每段都真心爱过不枉此生

费加罗男士 ##戛纳 ##彭于晏

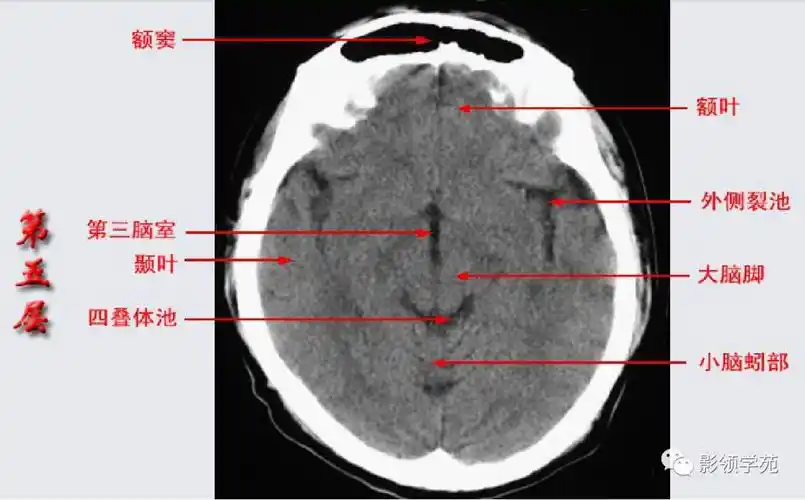
头部ct影像解剖

首页 自然和风景 秋天 森林,公园,树,草,树叶,秋 壁纸 下载 1920x1080

一个美丽动人的传说——青岛石老人

那英一家三口罕见合体走机场女儿甜美可人老公帅气她真老了