虎牙妹妹矫正前后对比99小虎牙,有些人会说它可爱.

相关图片

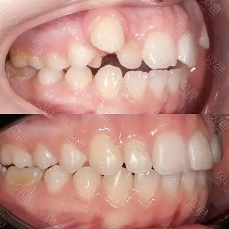
虎牙矫正前后对比

"虎牙妹变形记"搞定两颗虎牙从此土包子变小仙女

31岁大龄凸嘴虎牙突出

在30岁矫正牙齿是怎样的一种体验?

03案例重点:虎牙矫正,牙列排齐03案例情况:小姐姐上_圈子-新氧

随机推荐

她被称为最丑童星,演偶像剧被吐槽,今用实力得人心

图为赵丽颖2006年雅虎搜星比赛图片,赵丽颖,1987年10月16日出生于河北

【ps素材】一组精美中国古典工笔人物绘画(二)

海信研发工程师勇夺全国烹饪大赛金奖海信智慧厨房实验室受关注

那些年英女王伊丽莎白二世戴过的华丽项链珍珠篇

如何看待鞠婧祎早期的颜值? - 知乎

江东区图片

男生帅气鸡冠头发型 高耸造型吸睛又酷炫_发型站_最新流行发型设计