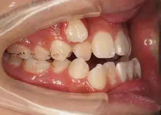
典型的"虎牙"矫治后牙根过于唇侧

相关图片

虎牙不矫正有危害吗?矫正的话需要多久!

了),上4号牙因为和虎牙重叠一点拔的时候碰到虎牙神经了疼了一个星期

埋伏虎牙案例讲解什么样的埋伏牙需要拔除

虎牙是指长在上颌门牙旁的两颗尖牙,又被称为犬齿,在所有牙齿中牙根是

尖牙和虎牙的区别图片

随机推荐

黎明,张曼玉《甜蜜蜜》,明明是悲剧,为什么要叫《甜蜜蜜》?_腾讯新闻

奉希原装oppo充电头oppor17充电器20w充电线oppor17数据线快充原厂r17

2022年属鼠运势详解香港风水大师李居明

可乐白桃乌龙味 330*6听 青柠味桂花树莓白桃乌龙混装饮料细长罐 青柠

8月12日晚上20:30"2005蒙牛酸酸乳超级女声"年度总决选第五场6进5

到底是谁在喜欢谢娜?多次被抵制又复出,三大靠山浮出水面

电影相关

《赵孟頫楷书千字文》 魏秋芳, 善清【摘要 书评 试读】图书