大脚骨治疗(畸形的大脚骨,有这两种治疗方法)

相关图片

大脚骨病的微创手术

大脚骨真的影响减肥

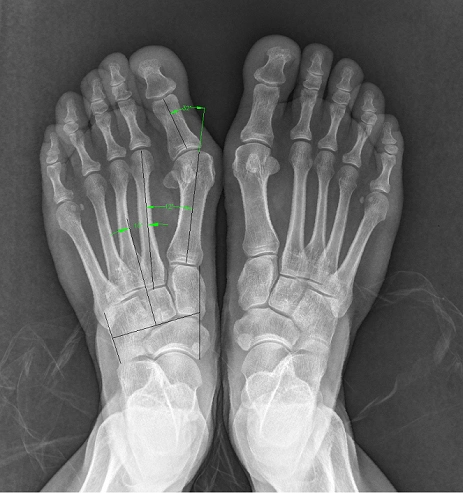
x光片更直观了解大脚骨 如果单纯去掉凸起能否有效矫正拇外翻呢?

北京正规大脚骨医院圣嘉新看的如何?

对于重度拇外翻(拇外翻角大于40°,第1,2跖骨间夹角大于20°),除常规

随机推荐

高桥凉介,我愿称之为颜神的颜巅阶段

【hi-res】郭德纲 于谦 相声精选

我要上同城精选##洪赖nice奈斯沙龙##男生烫发##洪赖

20年后,再看杨紫在内娱的处境,张纪中的话,终于有人信了|孔笙|宋丹丹

又是一批人的情怀dreamcar三菱evo

呆萌的傻鸟 最近偶然在网上看到一只鸟的照片,一下就把我的心击中了.

回顾贵姐儿于明加人美戏好为人低调不张扬追求平淡生活

荷塘荷叶唯美绿色护眼背景桌面壁纸高清大图预览1920x1200_植物壁纸