十岁孩子牙龈上长牙齿?怎么办?

相关图片

长期不刷牙会造成菌斑的附着,牙齿的破坏,牙龈炎症,红肿出血 - 抖音

小孩的牙床上面多长了一个小牙齿是怎么回事

牙龈上长"肉"是怎么回事?|牙齿_新浪新闻

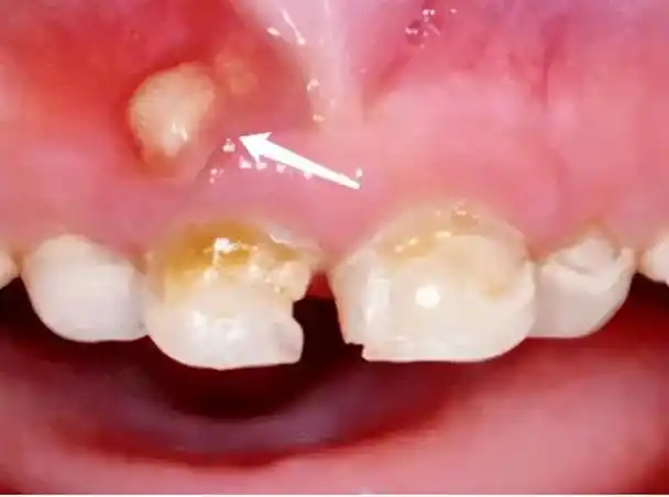
牙龈上长脓包的危害可不能小觑|周炎|牙齿|感染_新浪新闻

今天发现上面又长了牙细细小小的,不痛不痒

随机推荐

19年泰国见面会的时候就要和泰妃们一决胜负看谁喊#肖战#更热情了78

桌面壁纸 明星图片 > 正文 本文 超帅男神杨洋电脑壁纸_莫名其妙的被

男士做纹眉美瞳线的后果,陈伟霆黄子韬和贾乃亮告诉你_永久_眼线_少爷

靳东图片壁纸

男生头像冷酷帅气 背影 男生头像图片大全 -【爱个性】

谭晶军装照

可以顺产的胎位 头位——头部朝下,臀部朝上 如果你的b超单子上写的是