超级飞侠

相关图片

小飞侠这是迪士尼最具有代表性,脍炙人口的卡通长片之一.

小飞侠

超级飞侠

超级飞侠

乐迪头像简笔画

随机推荐

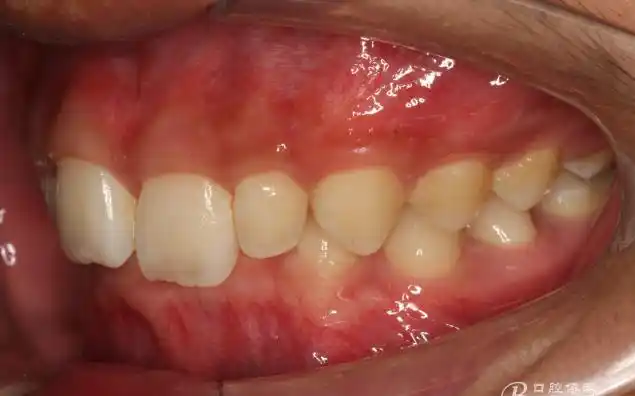
【原创博客】埋伏尖牙的外科电刀开窗导萌

手绘红色英文字母apng素材透明免抠图片-艺术字集

素描静物 #画画96 #画画练习打卡 #画渣日常 #苹果素 - 抖音

《小舍得》:怎么看钟老师被学校开除?蒋欣虽然过分,但没有错

假发男夏季新款男士锡纸烫少年感短发自然透气无痕全头套式假发套

孙露一首《珍惜》青春梦一场, 珍惜相聚的时光, 歌声纯净耐听

回顾经超:娶大6岁二婚女星,婚后靠妻子养活,如今夫妻恩爱

如何评价tony安胜浩的颜值