博阳顺丰直邮美肤草本抑菌液15ml 1盒装

相关图片

博阳药房直售牌美肤抑菌液15ml 原痘无痕皮肤外用草本液 1盒装

买3曾1美肤抑菌液15ml原痘无痕皮肤外用草本液报

博阳直售牌美肤抑菌液15ml原痘无痕皮肤外用草本液十五 一盒装

买3送1同款 原名博阳牌痘无痕升级版 草本博阳美肤抑菌液15ml正品

青春痘痘护肤草本舒缓护理液 兆春牌美肤净抑菌液1瓶

随机推荐

图李嘉欣与黎姿聚会晒亲密合照美人颜值依旧网友纷纷尖叫

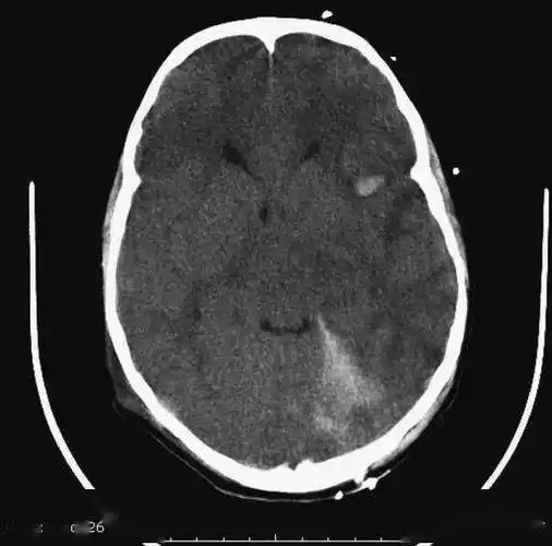
颅脑ct怎么看正常和异常影像分别是什么

这些年 那些惊艳了时光的行道树

正版书籍 hello早餐 家常菜谱类书籍 hello早餐

欧式窗户免抠素材免费下载_觅元素51yuansu.com

蒙面唱将猜猜猜gif面具gif额gif

p>李颖,1966年4月15日出生于上海市,中国内地女演员.