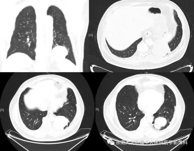
肺隔离症诊断之影像与病理

相关图片

肺隔离症你了解吗?

年轻女子咳嗽,咳痰2年,病因不寻常……_肺隔离症_医脉通

肺隔离症影像表现_郑孝飞

本是同根生相煎何太急肺隔离症一例

08.04 呼吸系统疾病——肺隔离症

随机推荐

迪丽热巴 in antonio grimaldi 2021春夏高级定制

旧社会最真实的老照片

qq空间唯美雨景图

古风动漫情侣头像一对古韵古风系列超美动漫情头

男士帅气大叔成熟头像|你留姓氏,我做图 今天更新的男生姓氏有: 王,裴

万圣节小僵尸儿童lolita新款女童清朝连衣裙可爱风 cos漫展礼服

从那时起,王心刚开启了近20年的"家庭歌手"生涯,在家中悉心照顾妻子的

西安地铁线路图(标准版)