儿童肺炎支原体肺炎用药,阿奇霉素与红霉素有什么区别?

相关图片

咳嗽到诊断肺炎,没让孩子输液(持续记录)

一岁 肺炎

双胞胎反复肺炎的原因,及下一步处理. [病例帖]

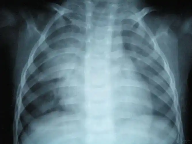
新生儿30天得肺炎,现在在妇幼icu,这是胸片,很严重吗

小儿肺炎好治吗

随机推荐

迪丽热巴六一晒自拍##迪丽热巴0603生日快乐

0428良渚文化良渚浅浮雕阴刻兽面纹玉璧

唯美动漫少女高清图片桌面壁纸

2021年女儿结婚邀请函

阳光与沙滩映衬少年朝气,时代少年团的夏日氛围感也太绝了,好喜欢看

致敬奋斗者|朱剑:新时代唯美精神的典型代表

川百止痒洗剂

3速卖通跨境电商货源一件代发欧美夜店大码高跟鞋t台走秀高跟06100