我的虎牙可以拔掉吗?

相关图片

如图,左边的虎牙是4年前摔断了半个,然后牙神经拔掉了,右边的门牙是小

虎牙长得太丑了好想直接拔掉啊

有没有虎牙跟我一样的朋友到底拔还是不拔

有虎牙是一种怎样的体验?

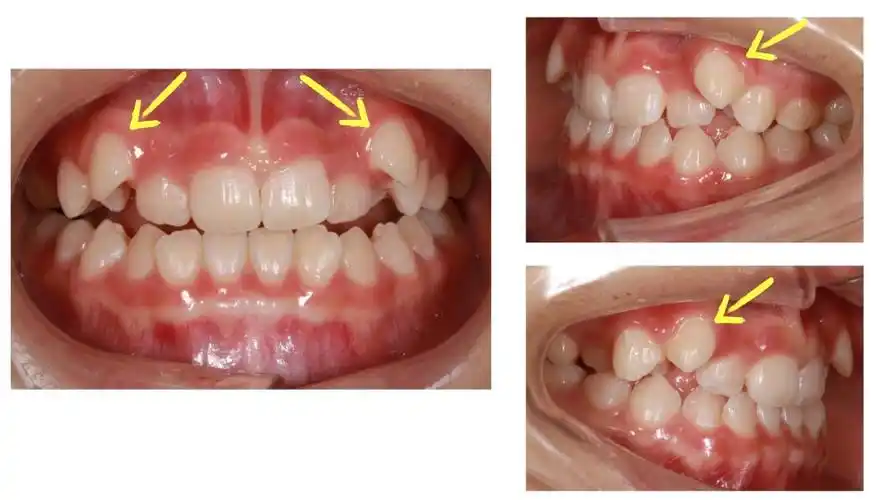
3号恒虎牙,叠在4号牙的位置.刚把3号乳牙拔掉,同时在做自锁矫正.

随机推荐

古风壁纸 | 白衣男子--珠履少年初满座,白衣游子也从公

白百何为新片宣传连换两套look随性文艺

王子文写真海报 a3尺寸8张一套 超高清加厚压纹写真

兽药阿苯达唑片金刚克虫片猪牛羊打虫药驱虫药线虫绦虫吸虫

天使与恶魔

也是美国第二大城市,被称为天使之城,拥有美国西部最大的海港,也是

葛曼棋百米夺冠依旧胶布挡纹身吴艳妮大方露出更有一将从不遮掩

红色长条背景图