牙列拥挤病例拔除四颗双尖牙 - 好大夫在线

相关图片

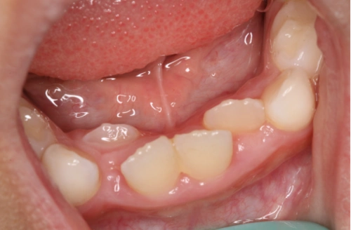
先天性下合第二双尖牙缺失

8岁男孩长了双排牙,都因这个习惯!严重的还会引起心肌炎,肾炎

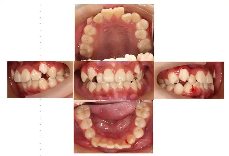
两颗双尖牙的死与生

两颗双尖牙的死与生

拔除上颌两颗双尖牙改善开唇露齿 - 好大夫在线

随机推荐

少儿口才培训进社区家长好评如潮

67huaweimate40pro官方内置壁纸全17张超清原图建议收藏

马嘉祺这组红衣造型好惊艳,带刺的红玫瑰,绝美|马嘉祺|红玫瑰|彩虹

拼音_汉字_四线三格_田字格_标准练习模板_word可输入打印版

【微信头像】朱正廷

卡通马

探索动漫世界中的深沉与忧郁,这些头像捕捉了女性的复杂情感

曝知名主持人陈蕾再婚!50岁改嫁帅气教授,林栋甫李泉现身婚礼