超话签到以来最好的成绩希望进个前十吧今天宋轩的空降我努力了,咱就

相关图片

忽然涌进来一批披皮,自带粉丝,超话十几级……风雨欲来!

啰嗦两句 1:转发帖直接转发的话帖子进不了超话,等级11级及 - 抖音

张泽禹超话升级钻超

刘学义郑合惠子cp超话解锁钻超##刘学义郑合惠子cp超话的钻超等

蔡徐坤超话/#蔡徐坤新歌rideordie#今日份tuan建开始,助力超话热度

随机推荐

孙燕姿专辑封面壁纸v2新风格采用主色搭配白色的设计,主色呼应主题

动漫表情包,可爱的噢

85后顶流小花杨幂与刘恺威分手后传出与魏大勋疑似恋情_小时候_同学

「时代少年团」朝气蓬勃《夏季运动会主题pb》拍摄花絮

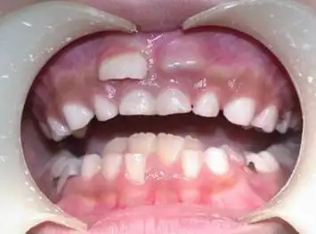
孩子恒牙长出乳牙未掉需要拔吗出现双排牙怎么办

男明星就要露腹肌

拜灶王爷的英国人

新车被恶搞p图!