刘些宁印花裙甜美写真图片45

相关图片

精美图集刘些宁美艳动人气质优雅

刘些宁:青春靓丽,貌美如花

刘些宁甜美养眼写真图片28

刘些宁甜美养眼写真图片58

精美图集刘些宁美艳动人气质优雅

随机推荐

当男星遇上狼尾发型:蔡徐坤很野肖战很苏,但我还是忘不了这位的_腾讯

挂耳挑染直发假发女 空气刘海自然全头套黑长直发 中长发假发套

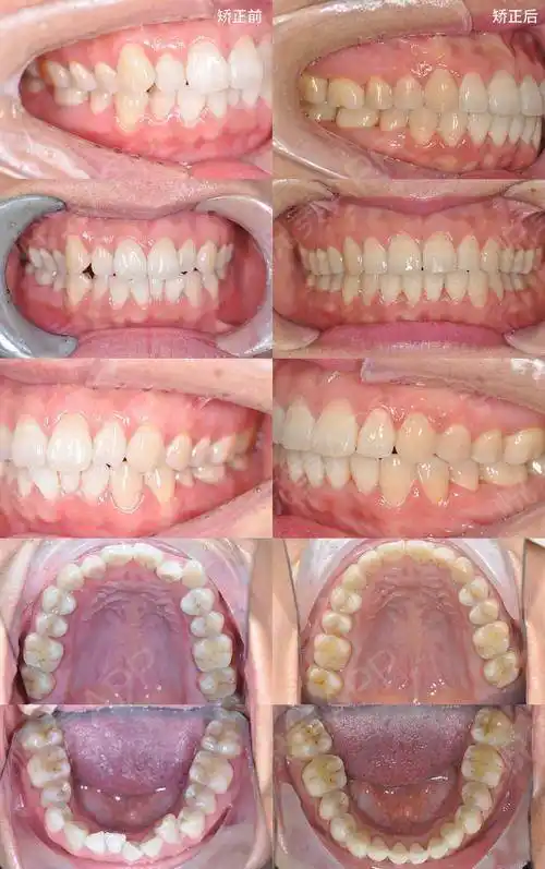
主要问题是牙齿排列不齐,门牙前突,脸型不对称.

情侣头像丨又甜又酷的动漫情侣头像

王俊凯vs刘昊然身高对比(王俊凯比刘昊然矮10厘米)(10)

于文文 #于文文你要的全拿走 #于文文天赐的声音 只要你 - 抖音

画超蓝悟空简笔画七龙珠孙悟空简笔画图小林简笔画超级赛亚人孙悟空龙

浅谈刑事案件中的"情况说明"