皮肤病疱疹

相关图片

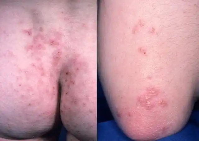
易被漏诊的疱疹样皮炎(附图)

疱疹性皮肤病在拉萨三个月买不到药就成这样了还好家里的药管用几天

警惕这种可能盖在儿童湿疹皮肤上的死亡图章|疱疹|皮炎|皮疹|瘙痒

疱疹样皮炎综述

口周皮炎基础上发生单纯疱疹样皮损

随机推荐

赵宝沟文化玉坠饰 - 高古 中古玉器 琉璃 - 玉器 珠宝 翡翠 玛瑙

中国最帅的男明星6位长得像混血儿的男星

华杰东方灰蓝色怎么搭配营造温馨浪漫的迤逦时光

那就让它破碎到极致.#抖音图文来了 #伤感 - 抖音

爱心小熊限定 日本制 斑马delguard不断铅防断芯自动铅笔0.5mm

毛林林和袁姗姗太像了,毛林林是哪里的

tengbo588,乔比迈凯男鞋加盟_乔比迈凯加盟_乔比迈凯加盟代理 -腾博会

刘之冰继女奚望:与丈夫结婚5年被抛弃,继父一句话让她任性离婚|刘思博