收藏——消化内镜40种常见病图谱_食管_综合征_十二指肠

相关图片

理由二:人进食后的半小时内,血液会呈乳糜状,很多检验项目的检测需要

扪

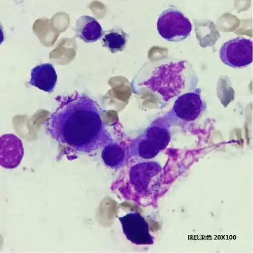
骨髓异常增生综合征合并巨幼细胞性贫血1例

胃癌精准病理诊断中的一些值得重视的问题

镜下观如图所示,以下叙述中错误的是 ( )

随机推荐

她们以前是男人,现在却比女人更有女人味.

日落一个人背影1024x600分辨率查看

陈慧琳 - 花花宇宙_哔哩哔哩_bilibili

情侣头像动漫二次元一人一半稀有图片

12星座古装q版女孩

别再说寸头是"精神小伙"发型了,男生剪这3种短发,帅气又潮流

下午茶糕点合集手绘画素材图片